
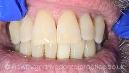
Teeth whitening – results achieved with scaling and air polishing session followed by two weeks home whitening using the Pola Night teeth whitening system and custom fit trays.

Fixed retainer + tobacco staining. Results achieved with scaling and air polishing – stain removal session.
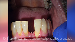
Calculus with staining. Results achieved with scaling and air polishing.
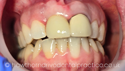
Teeth last cleaned in 2012. Calculus build up. Results achieved with gross scaling and polishing
Teeth last cleaned in 2012. Calculus build up.
Results from gross scaling and polishing to remove the bulk of calculus along with tailored oral hygiene instructions.
Patient is due to return in 1 month for a review and further scaling and polishing, including the removal of fine deposits and stain.
Removal of calculus. Results achieved with scaling and air polishing



Fields with (*) are required.
Please contact us via this website or email without disclosing confidential information.

383 Hawthorn Dr, Ipswich IP2 0RD
Email Us: info@hawthorndrivedentalpractice.co.uk | Call today: 01473 601717
Monday 08:30 to 13:00 - 13:30 - 17:15
Tuesday, Wednesday, Thursday 08:30 to 13:00 - 13:30 - 17:00
Friday 08:30 to 13:00
Saturday Private treatments only | Sunday Closed